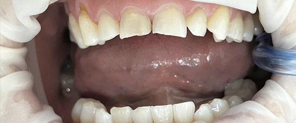
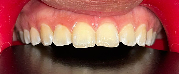
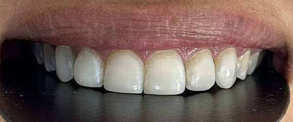
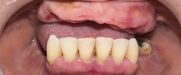
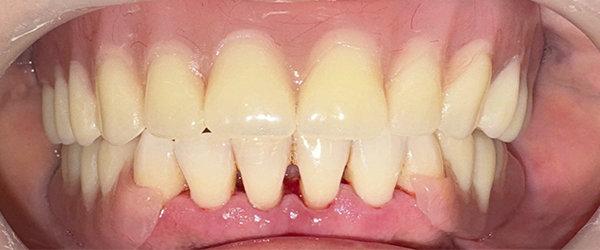
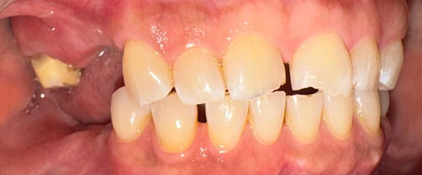
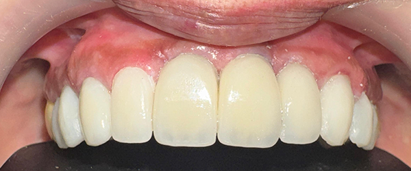
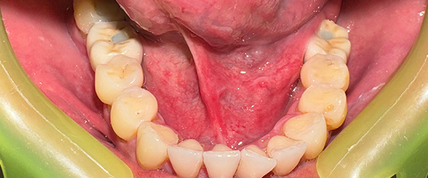
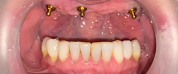
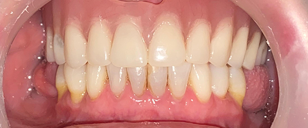
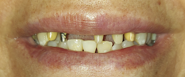
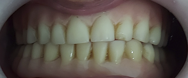
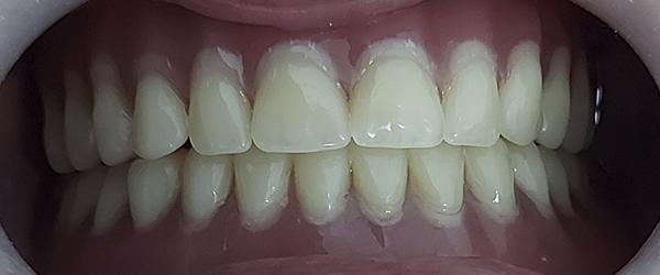
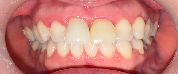
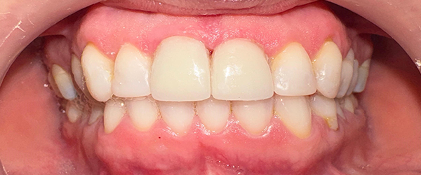
Resultados
























NUESTRAS
RESEÑAS
Testimonios De Sonrisas Satisfechas
¿Por qué debería elegir
nuestros servicios?
Excelencia y cuidado dental garantizados

Experiencia y Profesionalismo
Nuestro equipo de odontólogos está altamente capacitado y cuenta con años de experiencia en el campo. Nos dedicamos a ofrecer tratamientos de la más alta calidad y a mantenernos al día con las últimas técnicas y tecnologías en odontología.

Atención Personalizada
En ORALFLEX, cada paciente es único. Ofrecemos un enfoque personalizado para cada tratamiento, asegurándonos de entender y satisfacer tus necesidades específicas. Nos esforzamos por crear un ambiente acogedor y cómodo para todos nuestros pacientes.

Tecnología de Vanguardia
Utilizamos las últimas tecnologías y herramientas en odontología para proporcionar diagnósticos precisos y tratamientos efectivos. Nuestra clínica está equipada con tecnología avanzada que garantiza resultados óptimos y una experiencia dental superior.

Compromiso con la Salud Bucal
Nuestra misión es mejorar y mantener la salud bucal de nuestros pacientes. Nos comprometemos a educar y guiar a nuestros pacientes hacia hábitos de higiene dental adecuados y a ofrecer soluciones duraderas para cualquier problema dental.